Die Quietschnasen

  • Hier mal der Vergleich von Johnnys Lunge.

    Der wenn man draufschaut linke Lungenflügel war am schlimmsten betroffen.

    Oben vor 3 Wochen, unten gestern.

    Liebe Grüße von den 7 Quietschnasen:

    <3 Lavendel, Schnuppe, Domino, Johnny, Lumi, Fienchen und Nessaja <3

  • Das ist sehr interessant. Danke!

    Um Röntgenbilder möglichst immer mehr zu verstehen, wage ich mal eine Interpretation und bitte um Korrekturen oder Ergänzungen. Der Tierarzt hatte die Aufnahmen ja sicherlich mit Dir besprochen.

    Auf dem ersten Bild fällt der große Unterschied zwischen dem auf dem Bild links zu sehenden Lungenflügel und dem anderen, weniger geschädigten auf. Johnny schien dort nach oder bei dem Einatmen aufgenommen worden zu sein.

    Auf dem zweiten Bild schien er gerade ausgeatmet zu haben. Daher ist auch in dem besseren Lungenflügel weniger Luft als vorher. Aber der Unterschied zwischen bei Lungenflügeln ist geringer geworden. Zudem ist auf der auf dem Bild rechten Seite der Lungenflügel wieder gleichmäßiger "befüllt".

    Passt das so?

    Scotty (ca. 08/19), Landolf (ca. 02/20), Josia (08/20), Simba (06/23), Fuchsi (08/24), Fridolin (08/24) - im Herzen geblieben: Dachsi (04/18-09/24), Wuschel (04/18-11/23), Miro (ca. 02/20-10/24) - weitere Infos

  • Silke

    Meine Schwester war zur Röntgenbildbesprechung beim letzten Mal da, aber insgesamt sollte deine Beschreibung laut ihr passen😊



    Wir haben hier leider auch wieder ne neue Patientin, die Daumendrücker vertragen kann🥺

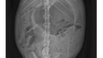
    Fienchen fraß gestern Morgen etwas langsamer und auch weniger. Waage zeigte 80g weniger als am Samstag an. Gestern Abend kam dann erschwerte Atmung/leichte Flankenatmung dazu. Zudem ist sie sehr ruhig und zurückgezogen.

    Über die App hatte ich noch einen Termin für Freitag ergattert, aber mit Atmung usw ist mir das eigentlich was lang zu warten, daher hab ich dann heute früh direkt in der Praxis angerufen, ob sie uns heute noch dazwischenschieben können.

    Die Heimtierärztin war heute nur im OP da, aber ich konnte Fienchen heute früh direkt zum Röntgen vorbeibringen und sie hat sich die Bilder kurz angeschaut und einen ersten Plan aufgestellt. Leider konnte ich nicht direkt mit ihr sprechen, aber morgen sollen wir wiederkommen, dann macht sie noch einen Ultraschall. Neben einer Aufgasung ist da nämlich noch eine Struktur im Bauchraum, die sie sich im Schall ansehen will.


    Heute also erstmal Versorgung mit Schmerzmittel und Bekämpfung der Aufgasung.

    Hat das von euch schon mal jemand gesehen? Könnte das die Blase und somit ein Stein sein? Und rechts unten davon auch was komisches(?)


    Ach Mäuschen... 🥺

    Liebe Grüße von den 7 Quietschnasen:

    <3 Lavendel, Schnuppe, Domino, Johnny, Lumi, Fienchen und Nessaja <3

  • Rechts unten würde ich zur Blase zuordnen und deshalb auf Blasengries oder Blasenschlamm tippen. Das oben könnte evtl. ein riesiger Blasenstein sein.

    Das ist bestimmt sehr schmerzhaft. Arme Maus! Ich drücke euch ganz sehr die Daumen! Das wird bestimmt operiert werden müssen. 😥

Jetzt mitmachen!

Du hast noch kein Benutzerkonto auf unserer Seite? Registriere dich kostenlos und nimm an unserer Community teil!