Schweinebande aus dem Norden

  • 😍Soooo putzig wie sie da Erwartungsvoll sitzen🤭 IrishGirl ? Wie kommt man auf den Namen Bönsch?😅 Was hab ich überlesen?

  • Ähh...keine Ahnung. Das ist einfach ihr Spitzname. Sie heißt eigentlich Bonnie, aber ich nenne sie nur Böns und daraus hat sich das entwickelt.

    Schnücks heißt eigentlich Nayla, das ist schwerer zu erklären :D

    Haremsgruppe und gemischte Gruppe <3

    "untere Gruppe" bestehend aus Luna und Zorro

    "obere Gruppe" bestehend aus Eddie, Billy, Helga, Maddie, Lila, Nayla, Ozeana, Bonnie, Elfriede, Malu, Jackie, Tilda und Ilse

    Mehr Infos zu uns hier :)

  • Ähh...keine Ahnung. Das ist einfach ihr Spitzname. Sie heißt eigentlich Bonnie, aber ich nenne sie nur Böns und daraus hat sich das entwickelt.

    Schnücks heißt eigentlich Nayla, das ist schwerer zu erklären :D

    Du musst mal eine Liste mit deinen Meerschweinchenamen machen. Alle echten Namen und dahinter die jeweils 5-10 Spitznamen. 😀😜

    <3Karla *2019 <3 Ludwig *18.1.2022 <3 Minna *ca. 20.8.2022 <3 Selma * 2.2.2024 <3 Amalie *ca. 25.4.2024

    Für immer im Herzen: Berta, Pieps, Charly, Greta, Emma, Sophie, Chocolate

  • Muss ich wohl mal machen. Wobei ich finde, dass man das größtenteils schon zuordnen kann :D

    Haremsgruppe und gemischte Gruppe <3

    "untere Gruppe" bestehend aus Luna und Zorro

    "obere Gruppe" bestehend aus Eddie, Billy, Helga, Maddie, Lila, Nayla, Ozeana, Bonnie, Elfriede, Malu, Jackie, Tilda und Ilse

    Mehr Infos zu uns hier :)

  • Ihr kriegt mal ein paar neue Bilder. Etwas durcheinander, da ich immer nach Lust und Laune bearbeite. Also vielleicht kommt dann mal eins doppelt :)

    Der Flausch von Mauli kommt immer gar nicht so rüber <3

    Haremsgruppe und gemischte Gruppe <3

    "untere Gruppe" bestehend aus Luna und Zorro

    "obere Gruppe" bestehend aus Eddie, Billy, Helga, Maddie, Lila, Nayla, Ozeana, Bonnie, Elfriede, Malu, Jackie, Tilda und Ilse

    Mehr Infos zu uns hier :)

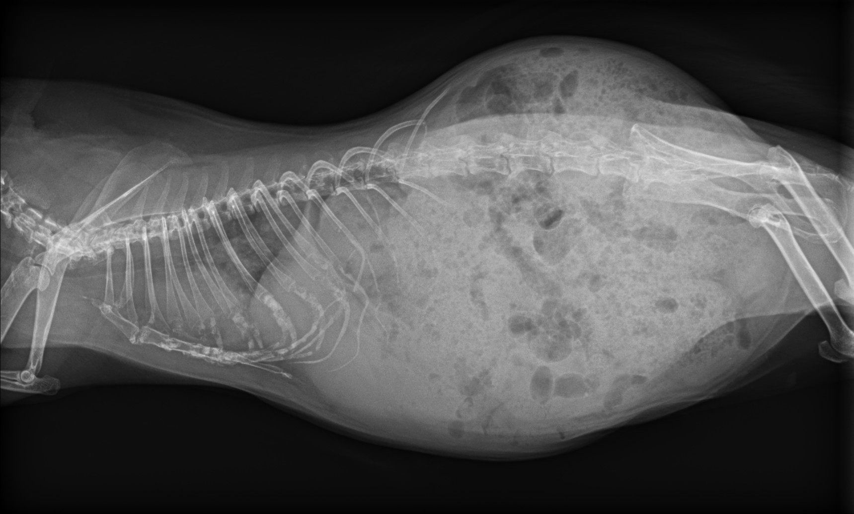
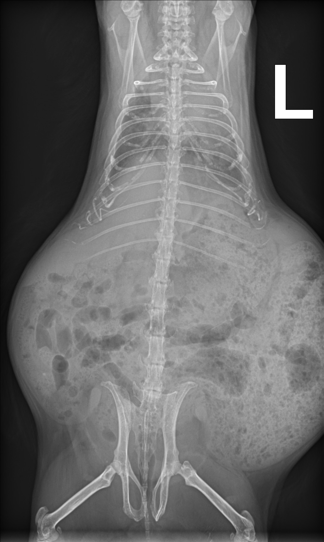
  • Es ist ja immer ganz interessant seinen Blick beim Interpretieren von Röntgenbildern zu schulen. Ich dachte ihr kriegt mal welche von letzter Woche und könnt ein bisschen raten, was man da sieht. Auflösung kommt dann :)


    Hab noch mehr, aber ein Schwein ist vielleicht übersichtlicher :)

    Haremsgruppe und gemischte Gruppe <3

    "untere Gruppe" bestehend aus Luna und Zorro

    "obere Gruppe" bestehend aus Eddie, Billy, Helga, Maddie, Lila, Nayla, Ozeana, Bonnie, Elfriede, Malu, Jackie, Tilda und Ilse

    Mehr Infos zu uns hier :)

  • Ich probiere es mal. Eins vorweg: Es sind reine Spekulationen, denn ich habe keine Ahnung. 🙈

    Herz ziemlich vergrößert, dadurch Lunge gestaut. Nieren unauffällig, die sehe ich nämlich nicht. Leber gut abgrenzbar, normal groß bis leicht vergrößert. Beckenknochen und Hüfte ohne Befund. Kleine Verdichtung im rechten Unterbauch (weißer Punkt). Keine Ahnung was das ist, kleiner Stein, Fremdkörper? Kann es anatomisch nicht zuordnen.

    Der Kopf ist total schwierig. Von den Ohren her ist eine minimale Seitendifferenz zu erahnen. Beginnende Otitis links? Oder doch normal? Linker Wangenknochen sieht irgendwie auffällig aus. Vielleicht eine Entzündung? Abszess? Links bei den Backenzähnen sieht es auch irgendwie auffällig aus.

  • Wow Sue, dafür dass du angeblich keine Ahnung hast, klingt das sehr kompetent. 😀👍🏽

    Ich habe wirklich keine Ahnung und sehe da nichts außer Knochen und Bauch. 🙈

    <3Karla *2019 <3 Ludwig *18.1.2022 <3 Minna *ca. 20.8.2022 <3 Selma * 2.2.2024 <3 Amalie *ca. 25.4.2024

    Für immer im Herzen: Berta, Pieps, Charly, Greta, Emma, Sophie, Chocolate

  • Warten wir erstmal IrishGirls Auflösung ab, ob ich überhaupt mit irgendwas richtig liege.

    Bei Herz und Lunge bin ich mir ziemlich sicher. Der Rest ist nur getippt anhand von Abweichungen/Auffälligkeiten beim Seitenvergleich bzw. der symmetrischen Abbildung der Knochen.

  • Dann will ich mal mein Glück probieren - ohne Anspruch auf Richtigkeit:

    Vorab zu den Aufnahmen: Die erste finde ich etwas unglücklich, da das Tier nicht auf der Seite sondern relativ verdreht aufgenommen wurde, so dass man z.B. die Bauchunterseite nicht ganz sehen kann. Auch frage ich mich, ob die beiden Körperaufnahmen zu hell sind und wir uns dadurch irreführen lassen könnten.

    • Die Lunge scheint auf beiden Aufnahmen zu wenig Luft zu enthalten. Einmal kann es in gewissem Umfang am Ausatmen liegen, aber zweimal fände ich das unwahrscheinlich.
    • An der Bauchunterseite könnte Wasser sein.
    • Die "Anhängsel" an den Rippenbögen lassen mich vermuten, dass das Schweinchen nicht mehr jung ist.
    • Das Verdauungssystem ist gut gefüllt. Die Menge an Gas dürfte, falls die Aufnahmen nicht zu hell sind, normal sein in einer solchen Situation.

    Kennt jemand eigentlich ein Lehrbuch oder sonstige Anleitung zur Interpretation von Röntgenaufnahmen? Natürlich könnten wir nie die Beurteilung durch einen guten Tierarzt ersetzen, aber 4 Augen sehen mehr als 2.

    Scotty (ca. 08/19), Landolf (ca. 02/20), Josia (08/20), Simba (06/23), Fuchsi (08/24), Fridolin (08/24) - im Herzen geblieben: Dachsi (04/18-09/24), Wuschel (04/18-11/23), Miro (ca. 02/20-10/24) - weitere Infos

  • Also...das ist Malu. Deswegen, Silke sie hat einfach einen unfassbar dicken Bauch, der "quillt" nach oben raus. Besser geht's nicht :D Und jaaaa, sie ist nicht mehr zwei, aber wir wollen sie ja nicht so mobben.

    Sue Herz und Lunge hast du grundsätzlich richtig erkannt. Das Herz ist aber nicht das Problem und auch normal groß. Du kannst in den seitlichen Röntgenaufnahmen immer sehen, ob die Luftröhre parallel zur Wirbelsäule verläuft, was dann ein vergrößertes Herz zeigt. In der Aufnahme von oben kann man das Herz eigentlich ganz gut abgrenzen, da ist es normal bis leicht vergrößert, was aber durchaus Sinn macht, weil es durch die verminderte Lungenkapazität mehr arbeiten muss.

    Die Lunge an sich sieht seitlich ganz okay aus, oben rechts im Lungen"zipfel" ist noch eine stärkere Verschattung zu sehen. Die Bronchien sind nicht übermäßig zu sehen was erstmal positiv ist. In der Aufnahme von oben wird deutlich, dass der linke Lungenflügel (auf dem Bild rechts) noch verschatteter ist als rechts, was den Eindruck eines schlecht abgrenzbaren/vergrößerten Herz verursachen kann.

    Man sieht im Bauchbereich nicht so richtig was Auffälliges. Ich finde die Leber etwas vergrößert, da wurde aber nichts gesagt. Wirbelsäule kann man aufgrund der Verkippung nicht so sehen bzw. bezüglich Spondylose beurteilen. Lustig finde ich, dass man ihren asymmetrischen Bauch auch im Röntgen sieht.

    Das Bild vom Kopf ist, richtig gesehen, sehr verkippt. Der graue Schatten im Ohr entsteht durch eine Überlagerung der Knochen. Aber erstmal ist das alles symmetrisch. Der Kiefer und die Zähne können nicht umfassend beurteilt werden. Dafür bräuchte man mehr Aufnahmen und vor allem...gerade wäre toll. Aber das Dentalröntgen ist ja eben nur in Narkose möglich. Haben uns schon gefreut, dass sie das mitgemacht hat. Böns hat da nämlich gestreikt.

    Silke das Meiste hab ich ja jetzt schon abgearbeitet. Das "Wasser im Bauch" würde ich eher als Fett einordnen.

    Es gibt kein aktuelles Schall vom Bauchraum (da keine Indikation) und kein aktuelles Herzultraschall, da es beim Abhören unauffällig ist, im Röntgen auch und die Behandlung der Lunge anschlägt. Eine aussagekräftigere Untersuchung wäre da ein Herzultraschall. Im Juni vor ihrer Kastration war sie da nicht auffällig, da war es im Röntgen nämlich minimal auffällig, weshalb wir das kontrollieren lassen haben.

    Silke mir ist nicht bekannt, dass es ein Buch gibt, bezogen auf Kleinsäuger. Hund und Katze bringt dir ja in dem Sinne nichts. Ich lerne viel von unserer Tierärztin, da ich eigentlich jede Woche 1-3 Röntgendurchgänge sehe. Sonst gibt es in dem Buch von Frau Ewringmann hinten Interpretationshilfen. Und, das hilft dir nicht, auf Instagram bei @kaninographie gibt es einen Posts zur Interpretation bei Röntgenbildern von Kaninchen. Das fand ich schon hilfreich.

    Die Bilder von der "Anleitung" in dem Buch von Frau Ewringmann könnte ich bei Bedarf privat schicken :)

    Haremsgruppe und gemischte Gruppe <3

    "untere Gruppe" bestehend aus Luna und Zorro

    "obere Gruppe" bestehend aus Eddie, Billy, Helga, Maddie, Lila, Nayla, Ozeana, Bonnie, Elfriede, Malu, Jackie, Tilda und Ilse

    Mehr Infos zu uns hier :)

  • Danke für das Angebot! Ich habe das Buch von Frau Dr. Ewringmann vor ein paar Jahren gekauft.

    Scotty (ca. 08/19), Landolf (ca. 02/20), Josia (08/20), Simba (06/23), Fuchsi (08/24), Fridolin (08/24) - im Herzen geblieben: Dachsi (04/18-09/24), Wuschel (04/18-11/23), Miro (ca. 02/20-10/24) - weitere Infos

  • Hätte mich auch gewundert, wenn du es nicht hättest. Ist ganz spannend der allgemeine Teil hinten, finde ich :)

    Haremsgruppe und gemischte Gruppe <3

    "untere Gruppe" bestehend aus Luna und Zorro

    "obere Gruppe" bestehend aus Eddie, Billy, Helga, Maddie, Lila, Nayla, Ozeana, Bonnie, Elfriede, Malu, Jackie, Tilda und Ilse

    Mehr Infos zu uns hier :)

  • Frau Dr. Jutta Hein ist in "Halterkreisen" nicht so bekannt, aber für viele Tierärzte das Vorbild in Sachen Heimtiere. Sie hat eine PDF-Datei veröffentlicht zur Interpretation bei Kaninchen. Ist was Anderes, aber vielleicht dennoch interessant: Link auf Datei

    Anmerkung zur Moderation: Um rechtliche Probleme auszuschließen, habe ich die eingebundene Datei entfernt und auf diese am Originalort verlinkt.

    Haremsgruppe und gemischte Gruppe <3

    "untere Gruppe" bestehend aus Luna und Zorro

    "obere Gruppe" bestehend aus Eddie, Billy, Helga, Maddie, Lila, Nayla, Ozeana, Bonnie, Elfriede, Malu, Jackie, Tilda und Ilse

    Mehr Infos zu uns hier :)

Jetzt mitmachen!

Du hast noch kein Benutzerkonto auf unserer Seite? Registriere dich kostenlos und nimm an unserer Community teil!