Starke Gewichtszunahme bei Helga

  • Habs gerade versucht. Madame hat einmal bisschen geschleckt und es dann ignoriert. Nachdem ich 20 Minuten versucht habe den Löffel in ihre Nähe zu bekommen, weil sie untypischerweise total unsicher und panisch war. Das war wohl nichts, jetzt muss ich sie fangen🫠

    ohje :huh: meine kennen das mit dem Löffel unabhängig von Medikamenten, ich weiche gerne Science Selective oder auch mal Päppelbrei ein und alle bekommen es mit dem Löffel. Aufgrund der allgemeinen Futterneiderei wurden auch zurückhaltende Schweine überzeugt. Teddy hat mir den auch schon aus der Hand gerissen und ist damit weggerannt. Wir haben allerdings so Eierlöffel aus Kunststoff und keine Metallöffel. Das hab ich umgestellt, nachdem die anfingen in den Löffel zu schnappen.

    Ich drück euch die Daumen, dass die Medizin anschlägt und sie das Metacam vielleicht bald freiwillig nimmt, wenn sie sich an das ganze Gedöns gewöhnt hat mir Spritze usw. Das ist ja vermutlich alles eher neu und unbekannt für sie.

  • Katha

    Wir haben auch einen Eierlöffel😂 Unsere Schweinchen sind sehr menschenbezogen und ich bin mir sehr sicher, dass ich das allen geben könnte im Gehege. Ich glaube Helga hat den Kontakt mit Menschen etwas verlernt, da sie immer nur im Hintergrund war und nicht so richtig Kontakt mit uns hatte. Das möchte ich gerne ändern und hoffe, dass sie durch diese engere Beziehung vielleicht wieder Vertrauen fasst. Das Doofe ist, dass ich zu ihr ins Gehege gehen musste, weil sie nicht herkommt und das kennen unsere Schweinchen vom Saubermachen, TÜV usw und gehen dann an den Rand. Sie kommen dann her, wenn ich sitze, sie rufe oder so, aber wenn ich wortlos im Gehege stehe, dann verbinden sie das mit anderem Sachen. Ich glaube sie war verwirrt, was ich von ihr wollte. Vielleicht passe ich heute Abend einen Moment ab, wenn sie vorne ist.

    Ich glaube auch, dass sie sich noch gewöhnen wird. Hat ja noch vieeeeeel Zeit zu merken, dass ich ganz lieb bin.

    Haremsgruppe und gemischte Gruppe <3

    "untere Gruppe" bestehend aus Luna und Zorro

    "obere Gruppe" bestehend aus Eddie, Billy, Helga, Maddie, Lila, Nayla, Ozeana, Bonnie, Elfriede, Malu, Jackie, Tilda und Ilse

    Mehr Infos zu uns hier :)

  • Habe jetzt mal die aktuellen Versionen für Helge zum Runtergehen fotografiert. Der Tunnel liegt links, weil sie da am meisten runtergehen. Die Kante geht etwa bis zum mittleren Gelenk von meinem Finger, also die Höhe ist wirklich okay. Wir haben auch viele Schichten, erst Unterlegematten, die man unter Fitnessgeräte usw. legt, dann Molton, dann Inkos, Fleecedecken, Badematten und darauf Pipipads, Kuschelsachen und die Sachen. Ich denke es wird also ganz gut abgefedert für ihre Gelenke.


    Haremsgruppe und gemischte Gruppe <3

    "untere Gruppe" bestehend aus Luna und Zorro

    "obere Gruppe" bestehend aus Eddie, Billy, Helga, Maddie, Lila, Nayla, Ozeana, Bonnie, Elfriede, Malu, Jackie, Tilda und Ilse

    Mehr Infos zu uns hier :)

  • Ich wollte noch einmal berichten. Heute Abend habe ich sie gleich gefangen ohne es vorher anders zu versuchen. Dann habe ich ihr draußen Zeit gegeben und ihr Erbsenflocken angeboten. Sie konnte freiwillig jederzeit reingehen, was sie auch zügig gemacht hat. Danach habe ich sie dann mit Erbsenflocken gelockt. Als ich sie soweit angefixt hatte, habe ich ihr auf Silkes Überlegungen hin mal eine Spritze mit Cavia Complete angeboten. Sie hat es erst irritiert angeguckt, obwohl sie es ja mag und sich dann weggedreht. Ich hab ihr das dann vorsichtig nochmal angeboten und etwas gedrückt, damit sie schmecken konnte. Fand sie toll. Ich denke wir werden jetzt noch ein bisschen Gewöhnung betreiben und dann klappt das bestimmt. Aber der erste Schritt ist getan. Der Rest ist größtenteils an Spritzen gewöhnt, aber irgendwann werde ich das nochmal angehen. Ich denke, ich werde die nächsten Tage mit Maluli und Öz beschäftigt sein, deswegen kann ich vielleicht mit Helgs nur begrenzt weitermachen.


    Sohnemann Eddie mag die Rampe😂🤭

    Das ist beides wieder Helga.

    Haremsgruppe und gemischte Gruppe <3

    "untere Gruppe" bestehend aus Luna und Zorro

    "obere Gruppe" bestehend aus Eddie, Billy, Helga, Maddie, Lila, Nayla, Ozeana, Bonnie, Elfriede, Malu, Jackie, Tilda und Ilse

    Mehr Infos zu uns hier :)

  • Ich habe heute von Helga die Röntgenbilder bekommen. Zudem habe ich eine Physiotherapeutin gefunden. die sich an Schweinchen mal ausprobieren würde. Helga kommt mittlerweile mutig her und nimmt Futter gerne. Nur die Medis muss ich noch reinschmuggeln. Sie läuft auch deutlich besser und mehr. Ihr Schilddrüsenwert war tatsächlich mit 0,9 unter dem Grenzwert von 1,1 (Ich weiß die Einheit leider nicht). Da das ja alles nicht so eindeutig ist fordert die Tierärztin nochmal einen Wert nach und wir kontrollieren in 4-6 Wochen und stellen sie dann bei Bedarf ein.

    Haremsgruppe und gemischte Gruppe <3

    "untere Gruppe" bestehend aus Luna und Zorro

    "obere Gruppe" bestehend aus Eddie, Billy, Helga, Maddie, Lila, Nayla, Ozeana, Bonnie, Elfriede, Malu, Jackie, Tilda und Ilse

    Mehr Infos zu uns hier :)

  • Das ist schon mal ein wichtiger Erfolg, dass sie mehr und besser läuft. Das bestätigt, dass Ihr Ruhigsein nicht eine Folge von Bequemlichkeit sondern von Schmerzen war. Die arme Maus! Aber gut, dass Du es gemerkt und sie zum Tierarzt gebracht hast!

    Die Röntgenaufnahmen würde ich gerne besser verstehen:

    Auf der zweitletzten Aufnahme ist das Sprungelenk m.E. klar als das zu sehen, was bei uns Menschen im Bereich der Ferse wäre. Etwas weiter links davon das dunklere ist dann vermutlich der Mittelfußknochen?

    Du hattest geschrieben, dass Ihr Sprunggelenk stark geschädigt ist. Aber sieht es auf dem letzten Bild nicht so aus, als sei auch der Mittelfußknochen kaputt?

    Was ich frage soll nicht herzlos klingen. Ich möchte Röntgenaufnahmen besser zu verstehen lernen, da das ja für unserer Tiere wichtig sein kann.

    Über die Physiotherapie würde ich auch noch gerne mehr wissen. Ich suche ja für Dachsi noch Hilfe. Unsere Tierärztin hatte mich auf die Idee gebracht, dass man ja auch auf die Ferne Hilfe in Form von Beratung und Anleitung für Übungen suchen könnte. Wollen wir dazu ein neues Thema eröffnen?

    Scotty (ca. 08/19), Landolf (ca. 02/20), Josia (08/20), Simba (06/23), Fuchsi (08/24), Fridolin (08/24) - im Herzen geblieben: Dachsi (04/18-09/24), Wuschel (04/18-11/23), Miro (ca. 02/20-10/24) - weitere Infos

  • Silke

    Es freut mich auch, dass wir ihr helfen konnten. Vielleicht nicht ursächlich oder so, aber zumindest die Schmerzen nehmen. Sie streckt beim Schlafen auch nicht mehr so übertrieben die Beinchen weg, vielleicht war das doch ein Zeichen von Entlastung.

    Ich finde du kannst definitiv Fragen zum Röntgenbild stellen. Mache ich in der Klinik ja auch, um besser zu verstehen. Magst du vielleicht mal den Bereich einkreisen? Ich bin mir nicht sicher, ob ich weiß, was du meinst. Vielleicht kann ich da mal nachfragen.

    Physiotherapie wäre definitiv ein spannendes Thema! Ich würde mich gerne mehr damit beschäftigen. Ich weiß natürlich noch nicht, wie/ob wir das sinnvoll umsetzen können mit Helga und ich von eigenen Erfahrungen berichten kann, aber ein eigenes Thema fände ich klasse, da Physiotherapie eine tolle Behandlungsoption ist. "Unsere" Physiotherapeutin hatte zumindest bei Kaninchen auch schon tolle Erfolge erzielt!

    Haremsgruppe und gemischte Gruppe <3

    "untere Gruppe" bestehend aus Luna und Zorro

    "obere Gruppe" bestehend aus Eddie, Billy, Helga, Maddie, Lila, Nayla, Ozeana, Bonnie, Elfriede, Malu, Jackie, Tilda und Ilse

    Mehr Infos zu uns hier :)

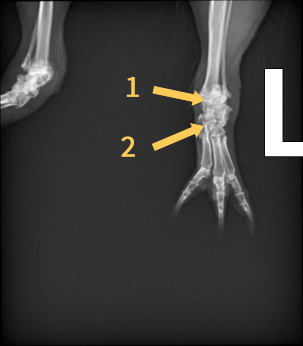
  • Ich habe in den Bildern 1 und 2 markiert. Dabei vermute ich, dass 1 das Sprungelenk ist und 2 der Mittelfußknochen. Falls das richtig sein sollte, sieht der doch auf dem 2. Bild auch nicht normal aus?

    Wie gesagt, ich verstehe kaum etwas davon und kann falsch liegen. Mach Dir daher bitte keine unnötigen Sorgen.


    Scotty (ca. 08/19), Landolf (ca. 02/20), Josia (08/20), Simba (06/23), Fuchsi (08/24), Fridolin (08/24) - im Herzen geblieben: Dachsi (04/18-09/24), Wuschel (04/18-11/23), Miro (ca. 02/20-10/24) - weitere Infos

  • Silke

    Den hatte ich glatt übersehen. Ich könnte mir vorstellen, dass die Ärztin mit Sprunggelenk den Teil eingeschlossen hat, da der gesamte Bereich falsch ausgebildet ist. Weißt du, was ich meine? Ich habe leider gerade unsere anderen Röntgenbilder von Füßchen nicht zur Hand um das zu vergleichen.

    Haremsgruppe und gemischte Gruppe <3

    "untere Gruppe" bestehend aus Luna und Zorro

    "obere Gruppe" bestehend aus Eddie, Billy, Helga, Maddie, Lila, Nayla, Ozeana, Bonnie, Elfriede, Malu, Jackie, Tilda und Ilse

    Mehr Infos zu uns hier :)

  • Alles liebe deiner lieben Helga!

    Ich hatte übrigens als Begleitmittel bei Arthrose so OCB Öl empfohlen bekommen.

    Das habe ich aber nie angewendet weil die TA meinte das kann erst mal Matschköttel machen und da hab ich immer riesen Angst vor.

    Evtl. kann man so Metacam absetzen oder reduzieren.

    LG Tim

  • Tim Ich nehme an Du hast Dich vertippt und meinst CBD-Öl?

    Ich hatte das zwei Schweinchen gegeben, über mehere Wochen. Beide hatten keine Probleme mit der Verdauung. Aber das kann natürlich von Tier zu Tier verschieden sein.

    Scotty (ca. 08/19), Landolf (ca. 02/20), Josia (08/20), Simba (06/23), Fuchsi (08/24), Fridolin (08/24) - im Herzen geblieben: Dachsi (04/18-09/24), Wuschel (04/18-11/23), Miro (ca. 02/20-10/24) - weitere Infos

  • Ich wollte einmal von Helga berichten.

    Ihr gefällt die neue Aufmerksamkeit sichtlich und es tut mir sehr leid, dass sie so untergegangen ist. Metacam und Artrin snackt sie gerne mit Cavia Complete und fordert das auch gut ein. Schlechter Nebeneffekt...sie kriegt jetzt mehr Erbsenflocken, weil sie bettelt. Aber ich gebe ihr dann immer kleine Stücke, das passt schon. Sie läuft deutlich mehr rum dank dem Schmerzmittel, hat aber Einschränkungen in ihrer Beweglichkeit, was zu erwarten war, da es ja unabhängig von Schmerzen einfach nicht geht. Ich hatte ein sehr schönes Gespräch mit einer Physiotherapeutin und Helgs und ich werden sie am 15. Juli mal beehren und dann wird sie das beurteilen. Ich denke ich werde dazu ein gesondertes Thema machen, wenn es soweit ist, um von unseren Erfahrungen zu berichten.

    Ich denke, ich werde zeitnah mal die Tierärztin wegen der Idee von Silke bzgl. Kurkuma und Ingwer kontaktieren. Ich wollte erstmal eine gute Schmerzmitteldosis finden, mit der sie keine Schmerzen hat, dann sehen wie weit ich runtergehen kann und danach erst unterstützende Maßnahmen hinzufügen, um den Behandlungserfolg beurteilen zu können.

    Ich hatte in dem Thema von Josephine schon geschrieben, dass ich überlege Helga von ihren Haaren zu erlösen oder sie zumindest deutlich zu kürzen, um ihr gewichtstechnisch etwas Erleichterung zu schaffen und ihr vielleicht Bewegung attraktiver zu gestalten.

    Das wars erstmal zum "kleinen" Helgs!

    Haremsgruppe und gemischte Gruppe <3

    "untere Gruppe" bestehend aus Luna und Zorro

    "obere Gruppe" bestehend aus Eddie, Billy, Helga, Maddie, Lila, Nayla, Ozeana, Bonnie, Elfriede, Malu, Jackie, Tilda und Ilse

    Mehr Infos zu uns hier :)

  • Es freut mich, dass es Helga jetzt ganz gut geht. Das hört sich positiv an.

    Ich bin gespannt, was du von der Physiotherapie berichtest. Das interessiert mich sehr, weil ja unsere Karla auch nicht mehr die Jüngste ist.

    <3Karla *2019 <3 Ludwig *18.1.2022 <3 Minna *ca. 20.8.2022 <3 Selma * 2.2.2024 <3 Ottilie * 9.11.2025 <3

    Für immer im Herzen: Berta, Pieps, Charly, Greta, Emma, Sophie, Chocolate, Amalie

  • Beitrag von Xarbor_ ()

    Dieser Beitrag wurde von Silke aus folgendem Grund gelöscht: Doppelposting ().
  • ByteSchweinchen

    Mach ich. Bin schon ganz gespannt!

    War etwas enttäuscht, dass die Tierärztin das nicht vorgeschlagen hatte. Bei meiner Nachfrage war sie nämlich ganz begeistert und hat betont, dass das sicher sehr gut wäre. Aber wenn man sich immer mit sparenden Besitzern rumschlagen muss, dann sinkt vielleicht auch das kreative Denken für Behandlungsmöglichkeiten.

    Haremsgruppe und gemischte Gruppe <3

    "untere Gruppe" bestehend aus Luna und Zorro

    "obere Gruppe" bestehend aus Eddie, Billy, Helga, Maddie, Lila, Nayla, Ozeana, Bonnie, Elfriede, Malu, Jackie, Tilda und Ilse

    Mehr Infos zu uns hier :)

Jetzt mitmachen!

Du hast noch kein Benutzerkonto auf unserer Seite? Registriere dich kostenlos und nimm an unserer Community teil!