Schweinebande aus dem Norden

  • Wir haben Ozeana, Helga, Billy und Malu, die das bekommen oder bekommen haben. Friedel hat zwischendurch mit ihrer Pfote auch noch was genommen. Zudem ist die Flasche doof und es geht immer was verloren. Bisschen was ist auch noch drin, aber nichts was guten Gewissens noch reicht, ohne, dass ich dann doof dastehe, wenn das Metacam leer ist.

    Also irgendwo auf dem Weg haben wir was verloren, und wir haben viel gebraucht ?(

    Haremsgruppe und gemischte Gruppe <3

    "untere Gruppe" bestehend aus Luna und Zorro

    "obere Gruppe" bestehend aus Eddie, Billy, Helga, Maddie, Lila, Nayla, Ozeana, Bonnie, Elfriede, Malu, Jackie, Tilda und Ilse

    Mehr Infos zu uns hier :)

  • Ich wollte da nicht weiter drauf rumhacken, aber Ilse hat mir vorhin so eine Steilvorlage geliefert und verfolgt gerade auch meine Finger beim Tippen :D

    Ich erinnere mich noch an ein Video, wo du dich gefreut hast, als du Ilse das erste mal zwischen der Absperrung nach draußen locken konntest. Und wo sie dann gefühlt wochenlang vor der Fütterung sich am Salat und co. bedienen durfte bis es ins Gehege kam. :D

    Da ist es ja kein Wunder, dass sie inzwischen selbstständig herauskommt und Selbstbedienung macht (inzwischen ja auch, wenn du nicht da bist 🤭).


    ---------

    Mit den ganzen Krankheitsgeschichten habe ich dir ja schon privat meine hilfe angeboten, ist ja leider aktuell echt viel. ?( Zur Not kann ich nach der Arbeit auch vorbei kommen und dir helfen, auch wenn es nur saubermachen ist - oder Ilse beschäftigen, während die anderen Medikamente bekommen.

    Und Friedchens Fuß wird schon wieder. Mina hatte Flausch ja damals auch netterweise in den Fuß gebissen. Da hat er etwas gehumpelt, aber ist alles ohne Probleme verheilt.

    Für sowas hab ich immer die antiseptische heil- und Wundsalbe genommen.

  • Snackos für die tapferen Snackratten <3 Nachdem wir heute schon wieder mit unguten Nachrichten vom Tierarzt gekommen sind, war das echt nötig. Einfach mal ein bisschen Schweine-TV beim Medis richten. Normalerweise gibt es Essen immer danach, damit niemand vom Essen geholt werden muss.

    Haremsgruppe und gemischte Gruppe <3

    "untere Gruppe" bestehend aus Luna und Zorro

    "obere Gruppe" bestehend aus Eddie, Billy, Helga, Maddie, Lila, Nayla, Ozeana, Bonnie, Elfriede, Malu, Jackie, Tilda und Ilse

    Mehr Infos zu uns hier :)

  • Ein Wäschestück in den Schrank, ein Snacko für Ilse, ein Wäschestück...

    So geht das dann, dauert nur länger :D

    Haremsgruppe und gemischte Gruppe <3

    "untere Gruppe" bestehend aus Luna und Zorro

    "obere Gruppe" bestehend aus Eddie, Billy, Helga, Maddie, Lila, Nayla, Ozeana, Bonnie, Elfriede, Malu, Jackie, Tilda und Ilse

    Mehr Infos zu uns hier :)

  • Mittagssnack :S

    Für alle, die sich fragen, wie es so sauber ist: ich habe fünf Minuten vorher saubergemacht :D

    Ein Friedeli <3 Mein Handy ist überfordert mit ihrem dunklen Schwarz.

    Ich habe heute bei dem guten Licht mal wieder die Kamera ausgepackt. Da werde ich die Bilder, wenn ich es schaffe, heute sortieren :love:

    Haremsgruppe und gemischte Gruppe <3

    "untere Gruppe" bestehend aus Luna und Zorro

    "obere Gruppe" bestehend aus Eddie, Billy, Helga, Maddie, Lila, Nayla, Ozeana, Bonnie, Elfriede, Malu, Jackie, Tilda und Ilse

    Mehr Infos zu uns hier :)

  • Ein paar Eindrücke von den zwei Honks. Ich baue jetzt jeden Tag das Gehege um und überlege mir, wie sie möglichst lange Wege zurücklegen müssen. Mit dem aktuellen Aufbau bin ich sehr zufrieden.

    Haremsgruppe und gemischte Gruppe <3

    "untere Gruppe" bestehend aus Luna und Zorro

    "obere Gruppe" bestehend aus Eddie, Billy, Helga, Maddie, Lila, Nayla, Ozeana, Bonnie, Elfriede, Malu, Jackie, Tilda und Ilse

    Mehr Infos zu uns hier :)

  • Sehr gut! Diese Grundidee und die Umsetzung, um mehr Bewegung zu fördern, finde ich wichtig und gut gelungen!

    Die beiden scheinen auf den Bildern teils zu skeptisch, teils empört zu schauen, aber an die weiten Wege und immer wieder neuen Hindernisse werden sie sich gewöhnen - und gesundheitlich und geistig davon profitieren.

    Scotty (ca. 08/19), Landolf (ca. 02/20), Josia (08/20), Simba (06/23), Fuchsi (08/24), Fridolin (08/24) - im Herzen geblieben: Dachsi (04/18-09/24), Wuschel (04/18-11/23), Miro (ca. 02/20-10/24) - weitere Infos

  • Das stimmt, auf den Bildern sehen sie echt unzufrieden aus :D

    In echt aber gar nicht. Zorro ist auf fast keinem Bild drauf, weil er die ganze Zeit durch die Gegend geflitzt ist. Er liebt es, wenn ich Sachen umstelle und läuft dann immer popcornend rum.

    Luna ist zu schlau, die legt sich immer direkt neben das Futter und ist dann happy. Deswegen muss ich mir da immer was Neues überlegen :D So halten sie mich auch fit :S

    Haremsgruppe und gemischte Gruppe <3

    "untere Gruppe" bestehend aus Luna und Zorro

    "obere Gruppe" bestehend aus Eddie, Billy, Helga, Maddie, Lila, Nayla, Ozeana, Bonnie, Elfriede, Malu, Jackie, Tilda und Ilse

    Mehr Infos zu uns hier :)

  • Jetzt gibt es ein paar Bilder von den Bettelratten gerade. Es sind ein paar mehr :D (H = Helga, E = Eddie)

    H

    E

    H

    H

    Haremsgruppe und gemischte Gruppe <3

    "untere Gruppe" bestehend aus Luna und Zorro

    "obere Gruppe" bestehend aus Eddie, Billy, Helga, Maddie, Lila, Nayla, Ozeana, Bonnie, Elfriede, Malu, Jackie, Tilda und Ilse

    Mehr Infos zu uns hier :)

  • H

    H

    Betont soziale Ilse😂😭 Das wirkt immer so, als würden sie sozial sein wollen und Jacks hat aber gar keinen Bock🥲

    H (hinten Eds)

    Haremsgruppe und gemischte Gruppe <3

    "untere Gruppe" bestehend aus Luna und Zorro

    "obere Gruppe" bestehend aus Eddie, Billy, Helga, Maddie, Lila, Nayla, Ozeana, Bonnie, Elfriede, Malu, Jackie, Tilda und Ilse

    Mehr Infos zu uns hier :)

  • Nachzüglerin Schnücks macht ihrem Namen alle Ehre und kommt selbstverständlich viel zu spät, aber voller Überzeugung, dass es jetzt Futti für sie gibt :D

    Haremsgruppe und gemischte Gruppe <3

    "untere Gruppe" bestehend aus Luna und Zorro

    "obere Gruppe" bestehend aus Eddie, Billy, Helga, Maddie, Lila, Nayla, Ozeana, Bonnie, Elfriede, Malu, Jackie, Tilda und Ilse

    Mehr Infos zu uns hier :)

  • Das sind wieder sehr ausdrucksstarke und niedliche Bilder! Danke dafür!

    Scotty (ca. 08/19), Landolf (ca. 02/20), Josia (08/20), Simba (06/23), Fuchsi (08/24), Fridolin (08/24) - im Herzen geblieben: Dachsi (04/18-09/24), Wuschel (04/18-11/23), Miro (ca. 02/20-10/24) - weitere Infos

  • Die kleinen Rattis haben mal wieder gemodelt 8)


    Morgen geht es wieder zum Tierarzt. Mal eine Woche ohne Tierarzt, aber mit zwei Physioterminen, war auch mal schön, aber für erholsam bräuchte es weniger kranke Schweinis. Und das Özelöt fehlt natürlich sehr.

    Die Physio schlägt aber größtenteils gut an, das erleichtert mich sehr.

    Haremsgruppe und gemischte Gruppe <3

    "untere Gruppe" bestehend aus Luna und Zorro

    "obere Gruppe" bestehend aus Eddie, Billy, Helga, Maddie, Lila, Nayla, Ozeana, Bonnie, Elfriede, Malu, Jackie, Tilda und Ilse

    Mehr Infos zu uns hier :)

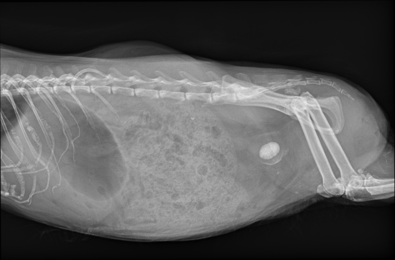
  • Wir brauchen ganz dringend eure Daumendrücker morgen. Die kleine Ilse hat sich leider einen Blasenstein eingesammelt und mittlerweile ist ihre Gebärmutter auch gesichert auffällig und mit Flüssigkeit gefüllt.

    Morgen wird der Blasenstein entfernt und sie wird kastriert. Es gibt aufgrund ihrer Vorgeschichte, der anspruchsvollen OP und ihres Alters natürlich viele Risiken, aber es gibt keine Alternative.

    Yume und ich hoffen sehr, dass sie noch 8 Jahre alt werden darf. Mindestens <3

    Haremsgruppe und gemischte Gruppe <3

    "untere Gruppe" bestehend aus Luna und Zorro

    "obere Gruppe" bestehend aus Eddie, Billy, Helga, Maddie, Lila, Nayla, Ozeana, Bonnie, Elfriede, Malu, Jackie, Tilda und Ilse

    Mehr Infos zu uns hier :)

  • Kurzes Update zu Ilse:

    Ihr Blasenstein wurde entfernt (Blase eröffnet und Stein raus). Die Gebärmutter war entzündlich Verändert und wurde auch entfernt. Zusätzlich hat Madame noch Zahnprobleme aber das ist jetzt die geringste Sorge.

    Sie ist nach etwa 2h OP(also wirklich lange) eigentlich ganz gut wieder wach geworden.

    Da ihr Allgemeinzustand aber nicht so gut war und sie auch starke Schmerzen hat, wurde entschieden, sie in der Nacht in der Klinik zu lassen.

    Ilse braucht alle Daumendrücker die es gibt damit sie hoffentlich schnell wieder fit wird.🥺


    Sonntag war ich ihr einen Krankenbesuch abstatten und habe lecker Bambus mitgebracht.

Jetzt mitmachen!

Du hast noch kein Benutzerkonto auf unserer Seite? Registriere dich kostenlos und nimm an unserer Community teil!