Erfahrungsbericht: Zystotomie und Kastration bei einem 7,5-jährigen Weibchen

  • Ilse hat bereits eine Vorgeschichte mit einer chronischen Blasenentzündung, welche man hier lesen kann. Im Januar 2024 kam sie von Yume zu uns.

    Daraufhin folgten viele Tierarztbesuche, da immer unterschiedliche Keime in ihrem Urin mit vielen Resistenzen gefunden wurden. Ilse hatte TSO-Tabletten zweimal und Doxycyclin über 8 Wochen bekommen. Sie wurde regelmäßig geschallt und und geröngt sowohl Blut abgenommen. Das letzte Mal Ende Mai/Anfang Juni 2024. Ab da hatte sie das Doxycyclin bekommen.

    Sie hatte über den Zeitraum von 1450g, eher 1380g auf 1200g abgenommen, was ich zunächst auf ihr Übergewicht bzw. durch die Bewegung auf eine Normalisierung ihres Gewichts, und den Verzicht auf Erbsenflocken geschoben habe. Bei 1300g war ich besorgt und dann fiel sie schnell auf 1200g ab, was deutlich zu wenig für sie war.

    Sie bekam in der Zeit Doxycyclin und Eurologist, sowie viel Flüssigkeit in Form von Wasser mit wenig Brei (20 ml morgens und abends).

    In der Woche vor dem 26.07. war sie dann mit jedem Tag etwas ruhiger und mir fiel auf, dass sie schlechter drauf war. Zudem war sie extrem schmerzempfindlich in der Bauchgegend, hat geschrien und der Bauch war bei Berührung hart. Statt am 26.07. wie geplant nur Urin abzugeben, um eine bakteriologische Untersuchung zu machen, damit wir wissen, ob das Doxycylin wirkt, entschied ich mich sie mitzunehmen. Der Urintest zeigte viel Blut an.

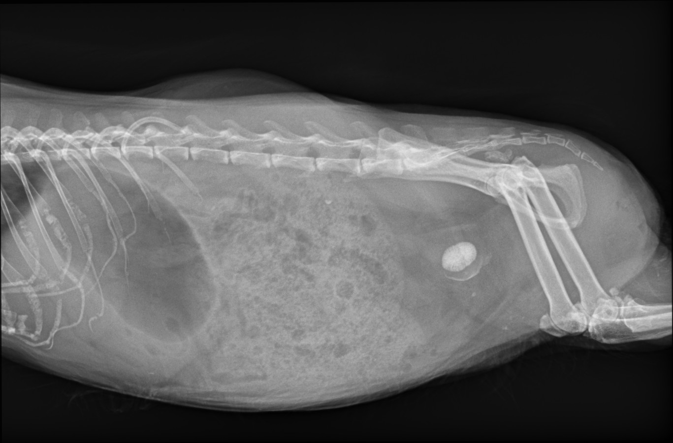
    Bei der Untersuchung fiel auf, wie schmerzhaft sie war. Wie geplant nahmen wir Blut ab. Urin ausmassieren ging nicht, sie hat nur geschrien. Im Schall war ein außergewöhnlich großer Schallschatten zu sehen und die Gebärmutter war flüssigkeitsgefüllt. Option CT um mehr zu sehen war also raus, denn wir müssen eh operieren. Es war nun unsicher, ob es ein Blasentumor oder ein großer Stein ist. Ich wusste nicht, worauf ich hoffen soll. Es war ein sehr großer Stein. Also Operation, denn einschläfern war keine Option. Am Dienstag, dem 30.07. wurde ich Ilse eingeschoben. Zusätzlich hatte Madame natürlich wieder beidseitig eine schlimme Bindehautentzündung.

    Bis dahin wurde ich Zustand zusehens schlechter. Sie saß nur rum, war aufgelustert und man sah ihr an, dass es ihr schlecht ging. Sie bekam Metacam und Novalgin, das Novalgin verschlechterte ihren Zustand aber eher. Ich päppelte sie als und hoffte, dass sie durchhielt. Urin setzte sie ab, aber es bereitete ihr Schmerzen und die Mengen waren zeitweise eher klein. Ich hatte den Urinabsatz im Blick, falls der Stein vor die Harnröhre rutscht.

    meerschweinchenforum.eu/a/attachment/2045/

    Am Sonntag war Yume nochmal da und hat Ilse besucht. Falls es nicht so läuft, wie es soll. Es war unsicher, ob sie die OP überlebt. Die größte Schwierigkeit war aber, ob wir sie wieder aufwachen lassen können, da die Tierärztin befürchtete, dass die Blase angesichts der chronischen Entzündung nicht hält. Außerdem musste die Nachsorge funktionieren und die Blase nicht platzen.

    Am Dienstagmorgen haben Ilse und ich unsere Reise um 6 Uhr morgens mit der Bahn begonnen. Um 8 Uhr waren wir dann dort und haben gewartet. Zwischendurch habe ich sie gepäppelt.

    Um 10 Uhr habe ich dann mein Zwergi schweren Herzens abgegeben. Um die Sache noch spannender zu machen hat Ilse die Tage davor verändertes Fressverhalten gezeigt und ihre Nierenwerte waren natürlich sehr schlecht. Wir haben uns dennoch für die OP entschieden. Wir wollten es probieren.

    Sie hat dann noch zwei Infusionen bekommen, um ihre Nieren zu entlasten. Um 11:17 Uhr war sie dann in Narkose gelegt. Gegen 12 Uhr kamen sie dann mit Ilse aus dem Zahnraum in den Wachteil-OP. Da wusste ich schon...nicht gut. Gegen 12:30 Uhr frage dann eine Dame von der Rezeption, dass ich ja immer noch da sei und erkundigte sich nach Ilse. Sie war noch stabil in Narkose. Wir fingen aber langsam an zu zittern wegen der Narkosedauer. Zwanzig Minuten später entschied Yume mal anzumerken dass es langsam "echt ein bisschen lang" wird X( :( Um 13 Uhr kriegte ich, nach leicht panischem Nachfragen, die Auskunft, dass sie bei der Naht wären. Um 13:08 Uhr kam sie aus dem OP zum Aufwachen, und dann war Stille... Und dann um 13:33 Uhr die Erlösung: Ilse ist super wachgeworden! Unser Superschwein :love:

    Dann haben wir besprochen. Erstmal die Zähne, sie hatte Zahnspitzen an den vorderen Backenzähnen. Wir hoffen, dass es von dem veränderten Fressen kommt, das wird die Zeit zeigen. Laut Frau Fischer wohl auch eine CT-Kandidatin. Wir sind unsicher, ob wir noch eine Baustelle aufmachen wollen. Erstmal hoffen, dass es von dem eingestellten Fressen kam. Aber wenn wir wieder entscheiden ob einschläfern oder probieren... Ich möchte es nicht ausschließen.

    Die Gebärmutter war leicht entzündlich verändert und sehr nah an der Blase. Die Ärztin hatte schon im Januar vermutet, dass die Gebärmutter die Blase reizt, was wohl oft bei chronischen Blasengeschichten die Ursache ist, allerdings war sie im Schall immer unauffällig und Keime im Urin zu finden. Wir hatten uns dennoch dann bei der Entfernung des Blasensteins für die große OP entschieden, da ein Entzündungsherd im Körper doof ist, und falls die Gebärmutter eine Mitursache war, hätte sie die Heilung gestört.

    Die Blase war wohl erstaunlich gut von der Stabilität her. Von außen sah sie aus wie eine Himbeere, was von der dauerhaften Entzündung kommt. Die Blase war um den Blasenstein gekrampft, welcher die gesamte Blase ausfüllte. Die Blasenschleimhaut war sonst nicht so schlimm, wie erwartet. Sie wurde ausgeschabt und gespült, um alle störenden Konkremente zu entfernen.

    Und dann alles zu. Was sich schwieriger als erwartet gestaltete, da Ilse über viel Fett und Muskeln, aber wenig Unterhaut verfügte. Aber das wurde dann über Einzelhefte gelöst.

    Ilse ging es verhältnismäßig gut. Sie hat sofort Urin und Kot abgesetzt. Ich hatte aber Angst sie mitzunehmen und habe mich nach einem kurzen Zusammenbruch entschieden Ilse über Nacht in der Klinik zu lassen. Dort konnte sie Infusionen bekommen und überwacht werden.

    In der Klinik bekam sie Tramadol, da das am wenigsten belastend für die Nieren ist. Der nächste Schritt, falls das nicht gereicht hätte, wäre Novalgin und danach Metacam gewesen. Also in Kombination dann mit Tramadol bzw. Metacam in Kombination Mut Tramadol und Novalgin. Dort hat sie gefressen. Außerdem haben wir sie umgestellt auf Orniflox.

    Am nächsten Tag habe ich sie wacher und stabiler mitbekommen. Sie war schon wach am Vortag, aber man hat ihr das einfach angemerkt und ich hab mir das mit der Entfernung von der Klinik und ohne Auto nicht zugetraut.

    Sie hat dann Tramadol (7 mg), Orniflox, Allrodin Uti kn, Rodicare Uro, Colosan, Lactulose, Rodicare Pulmo, Rodicare Hairball, Simeticon, Renes/Viscum comp. und ich glaube noch mehr, bekommen. Außerdem habe ich sie vollständig gepäppelt mit alle 2-3 Stunden 20 ml und natürlich 4-6 mal täglich Augentropfen. Ich habe ihr dann eine Woche gegeben wieder anzufangen zu fressen. Sie hatte etwas Schwierigkeiten mit einem geblähten Bauch und trockenen Kötteln. Am Freitag haben wir sie aber nochmal mitgenommen, um eine Infusion zu geben. Außerdem hat die Ärztin sie nochmal kontrolliert und war positiv überrascht, wie schmerzfrei Ilse ist. Unsere Vermutung war, dass Ilse durch die Niere schlecht ist und ihr Körper sich erst erholen muss. Schmerzhaft wirkte sie nämlich nicht. Sie bekam ab da auch SUC.

    Am Dienstag telefonierten wir nochmal. Ilse fraß nur sehr selektiv, wirkte aber ausnahmslos gut und auch nicht schmerzhaft. Wir entschieden uns abzuwarten bis zur nächsten Woche Dienstag. Vermutung: Zähne oder Niere. Hoffnung: sie braucht noch ein bisschen.

    Ilse muss das gehört haben, denn ab da fraß sie immer ein bisschen mehr. Und wurde frecher. Ich habe dann am 07.08. das Tramadol auf 5 mg reduziert und nachdem keine Änderung sichtbar war es am 08.08. abgesetzt. Sie bekam nur noch Orniflox, Colosan und Rodicare Uro.

    Das Blut im Urin wurde auch weniger. Sichtbar war es nie in dieser Phase, früher aber schon. Ich habe also mit dem Teststreifen getestet. Am 09.08. war noch Blut drin, am 11.08. war das Feld erstmal wieder gelb. Also wurde als das Feld beim Nachtesten wieder gelb war das Orniflox 2 Tage später auch abgesetzt. Ilse war also drogenlos :love:

    Aber wie wir sie kennen, hat sie gleich die nächste Überraschung auf Lager...

    Haremsgruppe und gemischte Gruppe <3

    "untere Gruppe" bestehend aus Luna und Zorro

    "obere Gruppe" bestehend aus Eddie, Billy, Helga, Maddie, Lila, Nayla, Ozeana, Bonnie, Elfriede, Malu, Jackie, Tilda und Ilse

    Mehr Infos zu uns hier :)

    4 Mal editiert, zuletzt von IrishGirl ()

  • Am Samstagabend wog Ilse nur noch 1090g. Davor hatte ich sie konstant bei 1150g-1180g. Sie war im Verhalten aber nicht auffällig. Ich wollte es also beobachten und morgen nochmal wiegen. Ilse wird jeden Tag zweimal gewogen.

    (Tagsüber 8) :D )

    Sie hat mir das dann abgenommen, denn ich sah wie sie auf einem ihrer Ausflüge tiefroten Urin absetzte. Gedanken als gleich neuer Stein, Nierenversagen,...??? Aber da ihr Zustand gut war, wartete ich ab. Sie bekam 60 ml Flüssigkeit zusätzlich zu den 20 ml vorher und freute sich auch wahnsinnig.

    Am nächsten Morgen leider dss gleiche Bild.

    Diesmal haute sie in etwa 3 Stunden sogar 120 ml weg. Ich hatte die Hoffnung sie damit gut durchzuspülen, was für Blase und Niere ja gut ist. Die Klinik sagte, dass sie bei deutlich schlechterem Allgemeinbefinden vorgestellt werden soll, sie aber sonst Montag eher etwas machen können. Also weiter im Plan. Nachmittags war sie dann deutlich ruhiger und wir wollten ihr wieder Tramadol geben, mussten aber warten, damit der 12-stündige Abstand sinnvoll ist. In der Zeit hat sie sich aber wieder massiv gebessert.

    Heute, also Montag, war sie in der Klinik zum Schall. Leider war keine Zeit, also ist Urin einschicken, Zähne ansehen oder ähnliches nicht möglich gewesen. Im Schall war die Blase auffällig, aber eher gereizt. Die Nieren waren nicht gut zu schallen da Ilse gut gesnackt hatte, aber erstmal unauffällig.

    Meine Vermutung, dass ein Stein enstanden war, der abgegangen ist, wurde somit bestätigt bzw. wird von der Ärztin auch stark vermutet. Was uns das jetzt für die Zukunft sagt...keine Ahnung. Das Rezidivrisiko ist hoch, das wussten wir, so schnell macht mich das etwas traurig, aber wir werden weitermachen, mehr Flüssigkeit anbieten und hoffen. Bald ist unsere Ärztin zurück aus dem Urlaub, dann sprechen wir nochmal.

    Haremsgruppe und gemischte Gruppe <3

    "untere Gruppe" bestehend aus Luna und Zorro

    "obere Gruppe" bestehend aus Eddie, Billy, Helga, Maddie, Lila, Nayla, Ozeana, Bonnie, Elfriede, Malu, Jackie, Tilda und Ilse

    Mehr Infos zu uns hier :)

    2 Mal editiert, zuletzt von IrishGirl ()

  • Was für ein Horror für Ilse und euch, von den Kosten ganz zu schweigen. Ich hoffe , daß ihr das beste für Ilse macht. Bewundernswert, was du auf dich nimmt. Ich drück beide Daumen, daß Ilse noch eine schmerzfreie Zeit bei dir verbringen kann.

  • Ich hatte mich so gefreut, dass ein altes Tier mit langer Krankengeschichte diese doppelte Operation gut überstanden hat und jetzt kam es wieder zu der Verschlechterung. Das ist so traurig!

    Wenn sie nach nicht einmal 3 Wochen wieder einen Stein gehabt haben sollte, der zu solchen Verletzungen führte, wäre das für die Zukunft beängstigend.

    Wurden die herausoperierten Steine untersucht, aus was sie bestehen. M.W. gibt es Unterschiede zwischen den verschiedenen Zusammensetzung, ob man eine Chance hat sie rechtzeitig aufzulösen und vielleicht sogar die Neubildung einzudämmen.

    Sind das 3 Steine gewesen oder war es 1, der zerfallen ist? Auf dem Röntgenbild sah es ja nur wie 1 großer Stein aus.

    Alles Gute für die arme Ilse! <3

    Scotty (ca. 08/19), Landolf (ca. 02/20), Josia (08/20), Simba (06/23), Fuchsi (08/24), Fridolin (08/24) - im Herzen geblieben: Dachsi (04/18-09/24), Wuschel (04/18-11/23), Miro (ca. 02/20-10/24) - weitere Infos

  • Ich habe den Stein nicht untersuchen lassen, da es 120-180€ gekostet hätte, für relativ wenig Erkenntnis. Es wäre laut der Tierärztin mehr wissenschaftliches Interesse aufgrund des schnellen Wachstums und weniger eine sinnvolle Erkenntnis mit Behandlungsoption gewesen.

    Das mit dem neuen Stein ist doof. Ich hoffe, dass wir es über noch mehr Flüssigkeitszufuhr besser regulieren können. Wenn alle paar Wochen ein Stein abgeht und es ihr für ein paar Stunden schlecht gibt, in denen wir ihr mit Tramadol helfen können, ist das aber immer noch besser, als ein großer Stein, den man wieder operieren müsste, was eine fragliche Entscheidung wäre, zu der ich noch keine feste Meinung habe.

    Es war ein großer Stein, der ist beim Zeigen gebrochen. Die Ärztin war froh, dass das nicht in Ilse passiert ist, weil sonst kleine Splitterchen die Heilung gestört hätten.

    Haremsgruppe und gemischte Gruppe <3

    "untere Gruppe" bestehend aus Luna und Zorro

    "obere Gruppe" bestehend aus Eddie, Billy, Helga, Maddie, Lila, Nayla, Ozeana, Bonnie, Elfriede, Malu, Jackie, Tilda und Ilse

    Mehr Infos zu uns hier :)

  • Kommt immer noch soviel Blut?

    Und wie ging und geht es Ilse seither?

    Scotty (ca. 08/19), Landolf (ca. 02/20), Josia (08/20), Simba (06/23), Fuchsi (08/24), Fridolin (08/24) - im Herzen geblieben: Dachsi (04/18-09/24), Wuschel (04/18-11/23), Miro (ca. 02/20-10/24) - weitere Infos

  • Ilse geht es seit Sonntagnachmittag gut. Also schlecht ging es ihr nur Sonntagmittag/Nachmittag für wenige Zeit. Ich würde aber, da sie abgenommen hat, sagen, dass sie davor Schmerzen hatte. Gestern hatte sie 1180g, als ich gefahren bin am Sonntag waren es 1090g.

    Ihr Urin war auch wieder unauffällig ab Sonntagnachmittag. Das spricht alles dafür, dass ein Stein das Problem verursacht hat und er abgegangen ist, wahrscheinlich als es ihr Sonntagnachmittag für ~2 Stunden schlechter ging, und danach war sie wieder normal.

    Ich bin gerade im Flugzeug auf dem Rückweg, zuhause kann ich mir selbst ein Bild machen.

    Mama sagt aber, Ilse frisst die ganze Zeit :D

    Haremsgruppe und gemischte Gruppe <3

    "untere Gruppe" bestehend aus Luna und Zorro

    "obere Gruppe" bestehend aus Eddie, Billy, Helga, Maddie, Lila, Nayla, Ozeana, Bonnie, Elfriede, Malu, Jackie, Tilda und Ilse

    Mehr Infos zu uns hier :)

  • Ich habe gar nicht mehr von Ilse berichtet. Sie hatte noch ein paar Tage Blut im Urin, aber war gut drauf. Es wurde dann auch weniger. Wir hatten also gehofft, dass die Entzündung/Reizung im Ultraschall vom Stein kam und sich kein Keim raufgesetzt hat. Nach hin und her mit kein, wenig und viel Blut kam am Dienstag das Ergebnis...Ilse hat einen neuen Keim ausgegraben🥳 Diesmal heißt er Pseudomonas fulva. Er scheint aber sensibel auf Enrofloxacin zu sein, deswegen kriegt sie das jetzt wieder. Haben wir nochmal Glück gehabt, denn Gentamicin, Doxycyclin und Trimethoprim-Sulfadiazin wäre für ihre Niere gar nicht gut gewesen. Das kriegt sie also jetzt seit Dienstag. Sie hatte zwischenzeitlich (etwa eine Woche nach dem anderen Stein) nochmal sichtbar Blut im Urin. Ich weiß nicht, ob da wieder ein größeres Konkrement abgegangen ist.

    Haremsgruppe und gemischte Gruppe <3

    "untere Gruppe" bestehend aus Luna und Zorro

    "obere Gruppe" bestehend aus Eddie, Billy, Helga, Maddie, Lila, Nayla, Ozeana, Bonnie, Elfriede, Malu, Jackie, Tilda und Ilse

    Mehr Infos zu uns hier :)

  • Ich muss ja nochmal berichten. Bei Ilse kann man mittlerweile nur noch lachen. Unsere Ärztin hatte nochmal beim Labor angerufen, da das Antibiogramm komisch war. Es gab drei Spalten und einen Keim. Natürlich haben sie nicht zwei Spalten dazugedichtet, sondern zwei Keime vergessen zu übertragen... Sie hat noch einen .....bacter und einen Staphylococcus.

    Das ist erstmal okay, weil zwei der Keime gegen Enrofloxacin sensibel sind. Ärgerlich wirds jetzt, weil Enrofloxacin bei dem Staphylococcus intermediär wirksam ist. Es wird also eine höhere Dosis benötigt.

    Wir hoffen jetzt, dass es wirkt. Sie kriegt das jetzt 4 Wochen (bisschen Zeit ist schon vergangen) und dann hoffen wir, dass alle weg sind. Eventuell müssen wir für den Staphylococcus dann auch umsteigen auf TSO, was bei Nierenerkrankungen so begrenzt gut ist...

    Die letzten Tage war wieder Blut im Gehege, nachdem jetzt eigentlich Ruhe war und laut Test gar nichts mehr drin gewesen ist. Ich muss nochmal testen, ob es Ilse war, aber bisher leider immer schon ?(

    Bleibt spannend mit Ilsbeth!

    Aber süß ist es <3

    Haremsgruppe und gemischte Gruppe <3

    "untere Gruppe" bestehend aus Luna und Zorro

    "obere Gruppe" bestehend aus Eddie, Billy, Helga, Maddie, Lila, Nayla, Ozeana, Bonnie, Elfriede, Malu, Jackie, Tilda und Ilse

    Mehr Infos zu uns hier :)

  • Ich hab hier ja seit Ewigkeiten nicht mehr geschrieben.

    Aktuell ist Ilse seit ca. Mitte Dezember stabil. Ihre Blase ist weich und nicht schmerzhaft und ich konnte Schmerzmittel absetzen/reduzieren. Sie hatte 6? Wochen TSO und danach noch lange Orniflox bekommen, bis sie endlich keine Keime im Urin hatte. Nach fast einem Jahr konnten wir endlich länger kein AB meht geben! Die Steine hatte sie zumindest um Dezember noch, seitdem haben wir nicht mehr geröngt, da wir uns erstmal dagegen entschieden haben weiter einzugreifen. Nächste Optionen wären nämlich alle in Narkose. Das wäre nur ne Überlegung, falls es nochmal sehr akut wird, aber auch nicht dauerhaft zielführend.

    Allerdings hat Ilsebeth eine doch recht deutliche Schilddrüsenüberfunktion und, vermutlich daraus resultierend, ein etwas vergrößertes Herz. Aber nicht dramatisch und eben vermutlich durch die Überfunktion.

    Blutwerte werden bald kontrolliert. Bisher merkt man gewichtstechnisch keine Änderung, aber sie ist ruhiger geworden.

    Vor ein paar Tagen hat sie es sich gut gehen lassen😌

    Haremsgruppe und gemischte Gruppe <3

    "untere Gruppe" bestehend aus Luna und Zorro

    "obere Gruppe" bestehend aus Eddie, Billy, Helga, Maddie, Lila, Nayla, Ozeana, Bonnie, Elfriede, Malu, Jackie, Tilda und Ilse

    Mehr Infos zu uns hier :)

Jetzt mitmachen!

Du hast noch kein Benutzerkonto auf unserer Seite? Registriere dich kostenlos und nimm an unserer Community teil!